医療法人 正仁会 みやけ歯科医院歯に関するご相談・ご予約は、お電話 0276-73-4923 までお気軽にどうぞ

診療案内

院内写真

お口の中の状態は各々の患者様により、様々です。当院では、問診を通し、的確な診査・診断を行い、診療計画をたてて診療を行っています。

また、治療終了後も快適なお口の状態を維持する為に、メンテナンスを行い、患者様のQOLの向上のためのお手伝いをしたいと思います。

診療内容

一般歯科

なるべく歯を抜かないで保存できる歯は残していく方針で治療を行っています。お口の状態により、むし歯治療で詰めたり、被せたりする前に根管治療、歯周治療、等が必要となる場合があります。

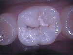
◆ドックベストセメント療法

削らないむし歯治療で注目されているセメントです。
セメントの殺菌効果により、通常では神経を抜くであろう深いむし歯治療においても有効です。
ドックスベストセメントを使用することで歯の神経保存率が高まります。
この治療は自費治療となります。

ドックスベストセメント
~初診~
ドックスベストセメント
 



~歯髄に近い深い虫歯~
ドックスベストセメント
 



~ドックベストセメント処置~
ドックスベストセメント
 



~グラスアイオノマー仮封~
ドックスベストセメント
 



~CR充填~
ドックスベストセメント

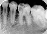
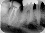
◆根管治療

むし歯等で歯の神経が死んでしまった場合に必要となる根の治療です。

根管治療X線写真
根管治療X線写真

◆歯周病治療

25歳以上の日本人の80%が歯周病であるというデータが出ています。

歯周病とは「ハグキが炎症を起こし赤く腫れたり出血したりする歯肉炎」と「歯肉炎が進行して歯槽骨などの歯周組織が破壊される歯周炎」の総称です。自覚することなく進行する病気(サイレントディジーズ)です。歯の喪失のほとんどの原因が歯周病といっても過言ではありません。

歯周治療の流れは、症例により病態はさまざまです。まず歯周検査・X線診査を行い歯肉と歯槽骨の状態を把握します。プラークコントロールと除石(歯肉縁上・歯肉縁下)が中心となりますが、部位によっては歯周外科手術が必要となる場合もあります。


~術前~
歯周治療写真
 



~術後~
歯周治療写真

Λ 一覧に戻る

歯周病内科治療

通常、保険治療で行う歯周治療は歯周ポケット検査、スケーリング(除石)、歯周ポケット検査、SRP(深いポケット内の除石)歯周ポケット検査、歯周外科処置、歯周ポケット検査という治療の流れがあります。

歯周内科治療は歯周病の原因菌(スピロヘーター属やカンジダアルビカンスなどの真菌)を位相差顕微鏡にて確認し抗菌剤にジスロマック(アジスロマイシン)、カビ取り剤としてハリゾン(抗真菌剤)を用いて歯周病菌を除菌することで、歯肉の発赤・腫脹を軽減させてからスケーリング・PMTCを行い歯周治療します。この薬の組み合わせによる治療(よく歯周病に効く)は自費になります。


動画の視聴にはFlash Playerがインストールされている必要があります。


ジスロマック
ジスロマック
ハリゾン
ハリゾン
ぺリオバスター
ぺリオバスター

Λ 一覧に戻る

入れ歯治療

◆総入れ歯

当院の総入れ歯では、リンガライズド・オクルージョンという特別な噛み合わせで製作しております。この噛み合わせの特徴は、小さな力で食品を破砕することが可能となり、ハグキが吸収して食事中、入れ歯の安定が悪い方にお勧めです。

総入れ歯1
総入れ歯2
総入れ歯3

◆ミラクルフィット(ノンクラスプデンチャー)

通常の部分入れ歯では、金属製のバネで入れ歯を維持・安定させますが、入れ歯の着脱時や食事の際に、バネの掛る歯に負担がかかり歯牙の保存の立場から考えてみても問題があります。そこで、このミラクルフィットでは、すべて樹脂で構成されていてバネもありません。見た目も違和感なく自然です。装着時は軽くて小さく食事においても快適です。またインプラントの手術が怖く踏み切れない方にもお勧めの入れ歯です。


~ミラクルフィット~
ミラクルフィット
ミラクルフィット
ミラクルフィット
ミラクルフィット

~ミラクルデンチャー~
ミラクルデンチャー
ミラクルデンチャー
ミラクルデンチャー
ミラクルデンチャー

Λ 一覧に戻る

小児歯科

治療前に歯科器材や治療行為に慣れるためのトレーニングを行い、お子さんが泣かない、そして笑顔で治療が終えられるように心がけています。ただし外傷・歯髄炎・根尖性歯周炎など痛みを伴う緊急時は、トレーニングを行いながらの治療は難しい場合もあります。また永久歯に萌えかわる時期は、むし歯になりやすいため予防処置(フッ素塗布等)・シーラント(予防填塞)をおすすめします。


~シーラント~
小児歯科
術前
 



小児歯科
術後

~フッ素~
小児歯科
小児歯科

Λ 一覧に戻る

床矯正治療(1期治療)

乳歯の前歯が抜ける6、7歳の時期に上下前歯の歯並びがデコボコしてきた場合は、床矯正(取り外し可能な矯正装置)・食育・咀嚼訓練などを行い口腔周囲筋・咀嚼系筋群を活性させ正常な顎骨に発育させることで歯のデコボコを治していきます。床矯正を始める年齢・永久歯の萠出状態によりワイヤーによる歯列矯正も必要になる場合があります。

受け口(反対咬合)治療は3歳ぐらいから治療可能です。当医院ではパナシールドやムーシールドなどを用いて治療を開始します。

◆床矯正


~術前~
床矯正治療(1期治療)
床矯正治療(1期治療)
~術中~
床矯正治療(1期治療)
~術後~
床矯正治療(1期治療)
床矯正治療(1期治療)

◆床矯正反対咬合


~術前~
床矯正治療(1期治療)
床矯正治療(1期治療)
~術中~
床矯正治療(1期治療)
~術後~
床矯正治療(1期治療)
床矯正治療(1期治療)

矯正治療(2期治療)

1期治療で歯列の拡大が終了してから、空隙や歯軸の修正するためにブラケット・ワイヤーを用いて行う治療です。
また、顎顔面の成長が終了し永久歯列期が完成している場合で歯列の凸凹状態が大きい場合は、抜歯が必要となる場合があります。


~矯正治療中~
矯正治療(2期治療)

Λ 一覧に戻る

インプラント治療

歯周病・虫歯・外傷などが原因で歯を失った場合、通常はブリッジ修復や部分入れ歯による治療が行われてきました。しかし虫歯でもない歯を削りブリッジ修復するということに疑問を感じる方々、また入れ歯に抵抗がある方には、インプラント(人工歯根)を用いた治療をお勧めします。

総入れ歯であっても、数本のインプラントを埋入することで、食事中の入れ歯が安定し良く噛めるようになります。また上顎奥歯の骨の高さなくインプラントが埋入できず、あきらめていた患者さんにおいてはソケットリフト、ラテラルサイナスリフトという上顎骨造成法を行いインプラントを埋入しております。

当院のインプラントは、アルタデント社のカムログインプラントシステムを中心に治療を行っています。
詳しくはこちらのページをご覧ください。

また、他社のインプラントにおいても対応しております。

インプラント治療

乳歯晩期殊なし
永久歯が前出しない

 


インプラント治療
 


インプラント治療

乳歯と永久歯を抜歯し
インプラント埋入

インプラント治療
インプラント治療

Λ 一覧に戻る

審美歯科

歯をより白く綺麗にしたいと思う方々は多いと思います。審美歯科とは、白い歯が見える口元だけではなく、機能的で歯周組織と顔貌に調和した自然美を追求する治療です。治療は短期間(歯冠修復・ホワイトニングなど)で終わるものから長期に渡る全顎的な治療(歯周病治療・矯正治療・インプラント治療など伴うケース)を行う症例もあります。当院での歯冠修復は

  • ジルコニアクラウン修復
  • メタルボンドクラウン修復
  • グラスセラミッククラウン修復
  • ハイブリットインレー、アンレー修復
  • コンポジットレジン充填

等の歯冠修復を行っています。

◆ジルコニアクラウン修復


~修復前~
ジルコニアクラウン修復
 



~修復後~
ジルコニアクラウン修復復

◆メタルボンドクラウン修復


~修復前~
メタルボンドクラウン修復
 



~修復後~
メタルボンドクラウン修復

◆オールセラミック修復


~修復前~
オールセラミック修復
 



~修復後~
オールセラミック修復
 



~修復後拡大~
オールセラミック修復
~術前~
オールセラミック修復
 



~術後~
オールセラミック修復

◆コンポジット充填


~修復前~
コンポジットレジン充填
 



~修復中~
コンポジットレジン充填
 



~修復後~
コンポジットレジン充填
~正中離開術前~
コンポジットレジン充填
 



~正中離開術後~
コンポジットレジン充填
~前歯術前~
コンポジットレジン充填
 



~前歯術後~
コンポジットレジン充填
~臼歯術前~
コンポジットレジン充填
 



~臼歯術後~
コンポジットレジン充填

Λ 一覧に戻る

ホワイトニング

当院では、歯科医院で行う「オフィスホワイトニング」を中心に行っていますが、自宅で行う「ホームホワイトニング」においても用意しております。

◆ホームホワイトニング

上下の歯型をとります。専用のマウスピースを製作しホームホワイトニング材を内面に注入し使用します。


インプラント治療
インプラント治療


◆オフィスホワイトニング(MIホワイトニング)

このシステムで使用するライトは青色LEDライト使用しているため発熱がなく歯に安全です。処置中の痛みも少なく快適です。また処置後の知覚過敏も少ないのが特徴です。
◎ホワイトニングコース

  1. 写真撮影
  2. 歯面清掃
  3. ホワイトニング(ホワイトニング剤+LEDライト照射4分×3回)
    所要時間30分
    ¥5,250円(通常は、このコースを3回行うことをお勧めします)

~治療前~
オフィスホワイトニング
 



~治療後~
オフィスホワイトニング

◆ウォーキングブリーチ

歯の神経が失活(死んでしまった)した場合、歯の色は茶からグレー変色します。根管治療をしてから歯にホワイトニングの薬を入れます。数回の薬交換で歯の色が改善します。


~治療前~
インプラント治療
 



~治療後~
インプラント治療

Λ 一覧に戻る

予防歯科

むし歯、歯周病予防を行っております。当院での歯周病予防は、位相差顕微鏡による細菌検査、ブラッシング指導やPMTCに重点をおいております。また、むし歯予防ではフッ素塗布・フッ素洗口を積極的に行っております。

◆PMTC。専門家による歯のクリーニング

PMTC (Professional Mechanical Tooth Cleaning)とは歯科医師、歯科衛生士である専門家によって行われる歯のクリーニングを言い、むし歯・歯周病予防、エナメル質の強化、審美性の向上などを目的として行います。


PMTC
PMTC
PMTC
PMTC
PMTC
PMTC

Λ 一覧に戻る

スポーツ歯科

スポーツ店で購入する既製のマウスガードは、歯と粘膜面に対して適切にフィットしないことがあるため、粘膜を傷つけたり、また噛み合わせの状態が適切ではないと、スポーツパフォーマンスの低下を引き起こす可能性があります。特に歯並びに悪い方はカスタムメードのマウスガードをおすすめします。

◆マウスガードの活用が広がっています

マウスガードが必要なスポーツとしては、コンタクトスポーツであるボクシング、格闘技、アメリカンフットボール、ラグビー、ラクロスなどがありますが、最近ではコンタクトスポーツ以外のスポーツでも使用されています。
また、好みの色・チームカラーなどに合わせられように多数の色シートを揃えております。


マウスピース
マウスピース
マウスピース

Λ 一覧に戻る